中医“组合拳”如何化解 39岁患者“肺部危机”
本文来源:西安附医中医医院发布时间:2025-11-12
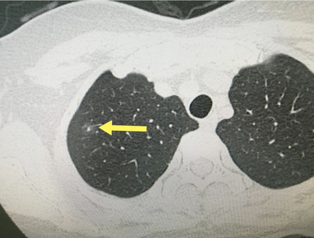
陈某,男,39岁,于2024年10月21日因“发现左肺磨玻璃结节2月”来我院就诊。患者体检时发现左肺存在一个11*12mm的磨玻璃结节。当时他无咳嗽、胸闷等任何不适,纳眠及二便均正常。
尽管身体没有发出“警报”,但影像报告上的这个问题,却成了他心头的一块大石。四处寻医后,辗转来到西安附医中医医院中医肿瘤科,经由郝主任为其亲诊。
【诊断与辨证】
西医诊断:肺结节病
中医诊断:肺积(痰瘀阻肺证)
郝主任提到,肺结节的本质是“肺虚痰瘀”,即人体肺气不足,导致痰湿和瘀血等病理产物凝结于肺,形成实体结节。结合患者舌红苔薄黄、脉弦长的体征,辨证为痰瘀阻肺,兼有郁热。
面对这样的结节,西医常建议“观察等待”或“手术切除”。但手术创伤大,且结节仍有复发、多发的可能。最终,患者选择了中医药辨证治疗。
根据患者情况,我院积极开展了多学科联合会诊工作,根据专家们的分析来看,该患者案例这是一个具有中高潜在风险的肺结节,需要综合的有效干预。
郝主任采用了中医综合治疗(内调外治,协同增效):开具中药内调方,消瘀散结,清热化痰。在中药内服的基础上,配合针灸治疗。通过刺激特定穴位,疏通肺经气血,调节全身气机,增强机体自我运化痰瘀的能力,为内服药物创造更好的起效环境。后续又采用了 TTS治疗,显著增强了化痰散结的疗效。
最终,患者遵医嘱,坚持上述综合治疗方案3个月后复查CT。令人欣喜的是,肺部磨玻璃结节已完全消失!为巩固疗效,后续再行短期治疗以善后。在整体的治疗中,出现了TTS治疗,而该项治疗在长期的临床应用中,证实对许多慢性病能达到标本兼治的目的,可大大缩短呼吸系统疾病的治疗疗程、减少并发症、改善肺功能、提高患者生存质量。
TTS治疗系统具有哪些优点?
· 副作用少:可以有效地避免口服药带来的副作用,不必频繁给药,特别是对用药方案不熟悉或记不准的老年病人显得特别重要;
· 见效较快:该技术可以实现药物在炎症部位的高浓度和持久存在,实现快速止痛、消红肿、祛炎症,从而增强药物的疗效;
· 剂量精准:进入身体的药量相对较少,在病变组织内形成高浓度的药物浸润区,保证有效药物浓度,避免药物的浪费;
· 便于使用:使用方面安全性相对较高,随时可以终止治疗过程,随时终止给药,操作简单。
· 给药独特:不受呼吸道因素影响,避免肝脏的首过效应,局部药物浓度平稳,不良反应少,特别适合老人用药的特点。
TTS治疗系统专利
如果您正遭受肿瘤结节类疾病带来的困扰,正在寻找一种安全、放心的治疗方法,我院中医肿瘤科可能正是您所需要的。
